Hakkında
Dr Jafar Soleimanpour
Uzman ve ortopedi cerrahı
Uzman ve ortopedi cerrahıyım ve diz eklemi protezi konusunda çalışan bir diz alt uzmanıyım. Minimal invaziv ve maksimum iyileşme ile eklem protezi ameliyatı yapıyorum. Ortopedi lisansımı Tebriz Tıp Bilimleri Üniversitesi'nde tamamladım ve uzmanlık eğitimimi İran ve dünyanın dört bir yanındaki seçkin hastanelerde tamamladım. 2001 yılından beri Tıp Bilimleri Üniversitesi'nde uzman ve öğretim üyesiyim ve şu anda Tebriz Tıp Bilimleri Üniversitesi'nde ortopedi doçentiyim.
- Cerrah ve uzman
- 60'tan fazla makale
- Üniversite öğretim üyeleri ve doçentler
- 25 yılı aşkın deneyim


Hizmetlerimiz
Diz eklem cerrahisi uzmanı


Cerrahi
diz eklemi


Spor
Hasarlari


Diz eklemi
iltihabı


Sapmalar
diz ekseni


Bozukluklar
Doğuştan
Osteotomi ameliyatı
DOME Shaped
Bu yöntemde, osteotomi eklem etrafında küre ve çanak şeklinde yapılır, osteotomi bölgesinin alt kısmı dikey eksen etrafında döndürülür - osteotomi sonrası küresel ve yarım daire şeklindeki kemik kırılır ve organ eksenindeki sapma ve deformite düzeltildikten sonra sabitlenir. Bu yöntemde uzuvlarda kısalma ve uzama olmaz ve teknik olarak daha zordur.




Osteotomi ameliyatı
Close wedge
Bu operasyonda, bacaktaki dizin sağlıklı kısmının altından veya uyluğun alt kısmından üçgen veya kama şeklinde bir kemik çıkarılır ve boşluk kapatıldıktan sonra, uzvun uzantısı düzeltilerek bir cihazla sabitlenir. (Çıkarılan kemik miktarı deformitenin büyüklüğüne bağlıdır ve farklı şekilde modifiye edilmesi gerekir). Bu yöntemde vücut biraz daha kısalır.
Osteotomi ameliyatı
Açık kama
Açık kama osteotomi ameliyatı, belirli kemik sorunlarını tedavi etmek için kullanılan cerrahi bir işlemdir. Bu yöntemde, cerrah kemiğe erişmek için kemikte gerekli alanı açar. Ardından kemiğin bir kısmını çıkarır ve istenen değişiklikleri yapar.




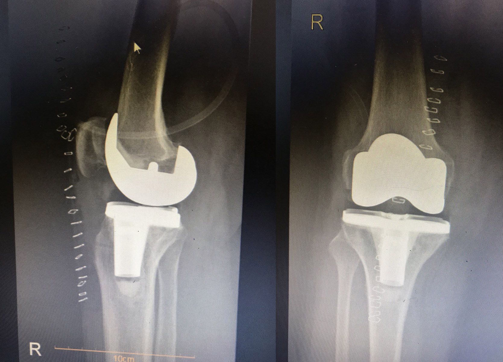
Diz artroplastisi ameliyatı
Diz eklemi ve patellanın değiştirilmesi
Diz eklemi protezi ameliyatının temel amacı, diz ekleminde ciddi hasar ve bozulma yaşayan kişinin yaşam kalitesini iyileştirmektir. Bu ameliyat, kişinin ağrısını azaltmasına, diz hareketini ve işlevini iyileştirmesine ve günlük aktivitelerini kolaylaştırmasına yardımcı olabilir.
Mesleki uzmanlık ve
Spor yaralanmaları uzmanı
Diz spor yaralanmaları arasında ön veya arka çapraz bağ yaralanması, menisküs yaralanması, diz uç bölgesi yaralanması, patella yaralanması (ksenopati) ve diz çevresindeki tendon yaralanması gibi durumlar yer alabilir. Bu yaralanmalar futbol, basketbol, koşu veya tekrarlayan sporlar gibi spor aktivitelerinden kaynaklanabilir.
- Diz çevresindeki bağ yaralanmaları
- Eklem kıkırdağı ve menisküs hasarı
- Diz eklemi veya diz ekleminin çıkığı
Parantezler ve bacaklar
Yürürken uzuv yerleşimine veya uzuv yerleşiminin kötü olmasına odaklanan bozukluk
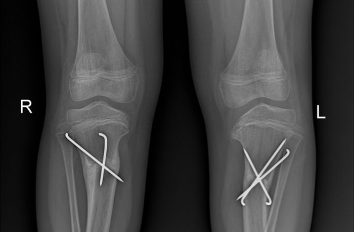
Kemik kırığı olan yaralanmalar
Bize güvendiler...
Memnuniyetinizden
memnunum
En son güncellemeler ve haberler
Blogdan bir alıntı
Bir kısmı







